近日,淄博市妇幼保健院影像科、心内科、呼吸科等多学科协作,成功救治一名急性肺栓塞患者。
肺动脉栓塞与心肌梗死、脑卒中并列为心血管疾病的三大致死病因,被称为“沉默杀手”。肺栓塞是指肺动脉血管或其分支被各种栓子阻塞的一组疾病,可导致心脏骤停和猝死、休克、肺梗死、肺动脉高压等严重后果。起病一般急骤隐匿,发现较晚,病死率和致残率较高,易被误诊。

患者陈女士(化名)因妇科疾病收住院,行妇科手术治疗后第三天,突然出现呼吸急促、情绪烦躁、心率加快、氧饱和度进行性下降、末梢紫绀,D-二聚体显著升高。
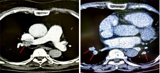
面对突发情况,医院第一时间启动MDT(多学科联合会诊)方案和DVT(下肢深静脉血栓)学组运行机制,心内科、呼吸科、ICU、外科、影像科及超声科组成的专家组紧急到达现场展开救治。期间,综合病人临床表现及各项影像、实验室检查,初步考虑肺动脉栓塞;为进一步明确诊断,行肺动脉CTA,检查结果显示:右肺动脉主干、下叶分支及左肺下叶分支血管内见充盈缺损改变,随时有生病危险。
时间就是生命,经与病人家属充分沟通后,介入组医务人员紧急行肺动脉介入手术进行治疗。术中,肺动脉造影证实右肺动脉主干及双肺动脉分支血栓形成,先后给予导管碎栓、溶栓;复造影肺动脉血流较前明显通畅,患者生命体征平稳,呼吸症状显著改善,氧饱和度稳定在95%以上。术后,患者转入心内科普通病房,进一步后续治疗。
此次紧急救治中,各科室反应迅速、衔接有序、配合娴熟,在极短的时间内成功挽救了患者生命,充分彰显了多学科协作的快速应急能力和过硬专业技术,得到了患者及家属的一致肯定。