近日,淄博市妇幼保健院胸外科成功完成一例罕见胸膜纤维肿瘤手术,得到了患者及家属的高度肯定。
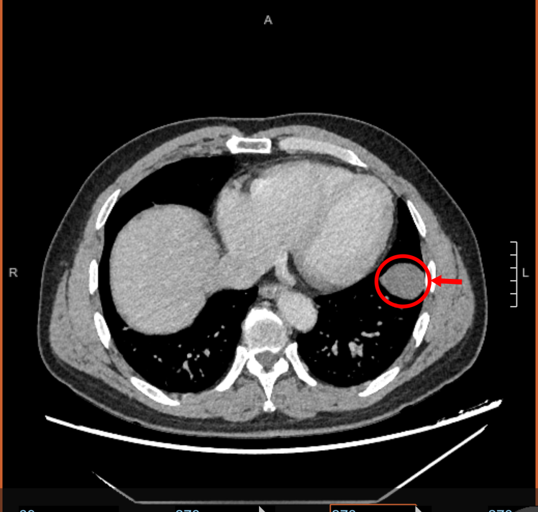
胸外科病房里的王大爷是一位刚刚退休的“健身达人”,原来每年健康查体都以“满分”通过,然而今年查体胸部CT发现其左侧胸腔有个大小4cm占位性病变,就诊淄博市妇幼保健院多番咨询后,决定住院手术治疗。
术中,胸腔镜镜发现肿瘤位于左肺下叶,手术不到1个小时顺利完成,术后病理考虑为孤立性纤维性肿瘤。此后,经过1周的综合治疗顺利出院。

“孤立性纤维性肿瘤(SFTP)是一种罕见的间叶细胞肿瘤,多为良性,少部分为恶性或交界性。”胸外科主治医师孙彬介绍,该病最常见累及部位为胸膜,也能出现在胸膜以外的组织,具有一定的遗传因素。大部分患者症状轻微,若病灶增大可出现胸闷、咳嗽等症状,主要通过胸部CT检查发现,手术切除是重要的治疗方式,完整切除的患者有良好的长期生存率。