近日,淄博淄博市妇幼保健院成功完成一例单孔胸腔镜下荧光染色肺段切除术,填补医院空白,标志着医院胸部疾病微创化、精准化治疗达到前沿水平。
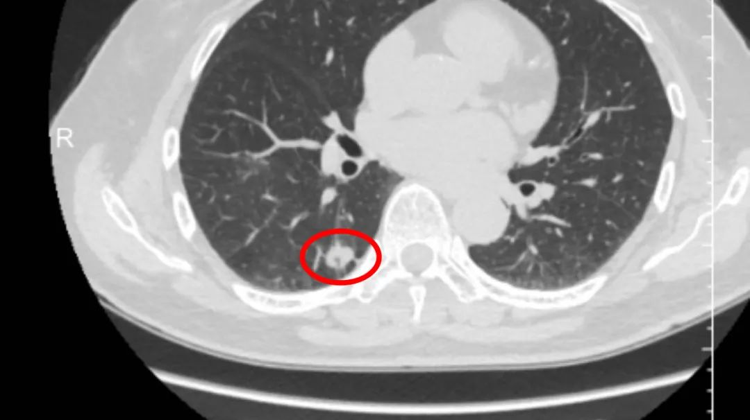
在胸外科病房就诊的张大爷,今年75岁,因健康查体胸部CT发现“右肺下叶高危结节”。经综合检查评估后,考虑右肺恶性肿瘤可能性大。

入院后,为保证完整切除病灶的同时,最大程度保留正常肺组织,胸外科主治医师孙彬科学制定了吲哚菁绿荧光单孔胸腔镜下右肺下叶后基底段切除术方案。术中,在荧光模式下,可以清楚的显示切除边界,手术顺利完成,术中快速病理为“浸润性腺癌”。目前,患者正有序康复中。
“吲哚菁绿是一种水溶性荧光剂,具有较高的蛋白质结合率,静脉注射后在体内与血浆中的大分子蛋白质迅速结合,能够较强地吸收近红外光并发出荧光。”

孙彬介绍,在胸腔镜荧光模式下,目标肺段的边界得以清晰显现,可以迅速用单极电钩对需要切除的目标肺段进行灼烧标记边界,确定段间平面,进而实施精准切除目标肺段。与传统的“膨胀-萎陷法”相比,缩短了手术时间,提高了患者术后舒适度,适用于年龄大、心肺功能较差患者。