微创治疗好!帮助老人摆脱长期卧床
骨质疏松是一种隐匿性病变,往往不被人们所重视,被称为“无声无息的杀手 ”。骨质疏松是中老年人尤其是女性最常见的骨骼疾病,随着我国步入老龄化社会,骨质疏松对人民健康的影响日益严重。据统计绝经后一半以上的妇女患有骨质疏松,75岁以上的老人接近60%患有骨质疏松,是导致骨折的重要原因之一,已成为中国发病率排名第四的慢性疾病,严重影响了中老年人的健康。
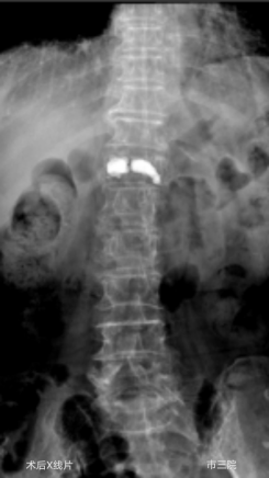
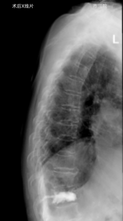
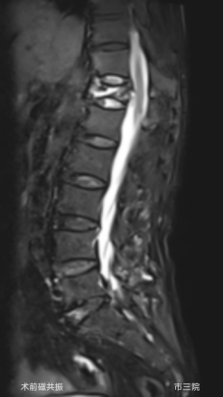
外二科收治了一位82岁的老年女性患者,患者摔倒后因腰部疼痛不能下床活动,在家长期卧床5个月,期间外用膏药,效果不佳,老人虽八十多岁,但受伤前身体硬朗,自己能够洗衣、做饭、赶集等,自从摔伤后不见好转卧病在床,子女们轮流照顾老人,打破了原本平静的生活,眼见老人下不了床子女们心急如焚,四处打听创伤小恢复快的治疗办法,经人介绍来到我院外二科就诊,磁共振检查显示患者胸12椎体压缩性骨折,椎体压缩性骨折已经5个月了仍未愈合,已经形成kummell 病,骨折基本不能愈合,此病首选经皮穿刺骨水泥注射椎体成形术治疗,创伤小、可迅速恢复自理生活,经与患者及家属沟通后同意手术治疗,就诊当天就办理了住院,住院后赵东主任医师对老人进行了全面查体,对老人家原本患有“冠心病、糖尿病”,积极联系内科会诊,完善术前检查做好充分术前准备。术中C型臂准确定位后,局麻下5mm皮肤切口,赵东主任医师顺利打入椎体骨水泥,韩克伟医生询问患者有无不适,患者诉腰部疼痛症状消失,术后第二天,患者佩戴胸腰护具下床独立行走,露出了久违的笑容。





经皮椎体成形术优势:
1. 微创手术:伤口小、出血少、术后疼痛轻、恢复快,是老年椎体骨折患者的首选。
2.止痛作用惊人:具有确实可靠以及高效的止痛作用。
3.减少并发症:术后早活动,避免了长期卧床带来的诸如肺炎、压疮、尿路感染等并发症和护理不便。
4.术后患者早期即可恢复自理能力,减轻家人的陪护负担和经济压力。
骨质疏松症是一种可防可治的慢性疾病,其防治措施主要包括调整生活方式,摄取适量骨健康基本补充剂,以及药物干预。其中,补钙是骨质疏松治疗最常用、最有效的办法之一。需要注意的是,补钙的同时,必须注意补充维生素D。
老年患者日常生活中一定要避免摔伤导致骨折,当遭遇骨病骨痛时,淄博市第三人民医院外二科全体医护人员愿用精湛的微创治疗、精心的温暖照护解除病痛,快速康复。