原发性醛固酮增多症距你有多远
——记我科确诊的第一例原醛症
原醛症,熟悉又陌生,它却是我们内分泌科比较常见的一类内分泌疾病,属于肾上腺疾病的一种,也是继发性高血压病因里最常见的一类疾病。今天我就讲讲我们科是怎样拨云见日,找到导致高血压的真凶。

患者女性,52岁,因“间断头痛2年”于2021.7.19入我科治疗。既往体健。患者2年前无诱因出现头痛,测血压150/90 mmHg,诊为“高血压病”,未服药治疗,后头痛间断发作,血压波动在150-170/100mmHg,曾服用“厄贝沙坦氢氯噻嗪片、中药”等治疗,效果不佳。就诊我院,门诊以“高血压病”收入院。 查体:体重56.5kg 身高153cm 体重指数 24.1kg/m2 血压145/94mmHg 心肺查体无异常。入院后查血钾3.55mmol/L,颅脑CT示多发缺血灶。本患者发病特点:中年女性,超重,高血压病史2年,血压2级,服用2种降压药物治疗,血压下降不理想。我们首先考虑排除继发性高血压可能。因此入院后我们在降压、对症治疗基础上行肾功、皮质醇、醛固酮、肾素、ARR比值、肾血管、肾上腺、心脏彩超等检查,结果患者立位ADRR 54.79,原醛初筛阳性,内分泌性高血压已初显原形。接着开始我们的确诊试验,考虑患者血压偏高,故我们选择了卡托普利试验,焦急的等待后我们终于拿到了化验结果,患者服用卡托普利后醛固酮没有被抑制,至此原醛确诊,我们抓住导致高血压的真凶了。

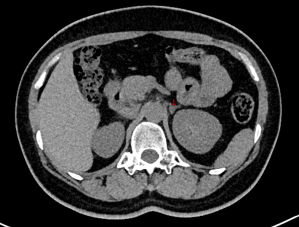
但是真凶藏在哪里?CT结果出来了,左侧肾上腺体部增粗,超过同侧膈脚厚度,增强扫描其内可见5.1x6.5mm弱强化区,边缘尚示清晰。右侧肾上腺形态规则,内外侧肢体内未见异常密度影。真凶就在左侧肾上腺。故而我们完美收官,该患者诊断原发性醛固酮增多症——醛固酮瘤 继发性高血压。我们建议患者手术治疗。

原发性醛固酮增多症,简称原醛症。是由于肾上腺皮质腺瘤或增生分泌过多的醛固酮,导致体内潴钠排钾,血容量增多,肾素-血管紧张素系统活性受抑制。临床主要表现为高血压和低血钾。与原发性高血压患者相比,原醛症患者心、肾等高血压靶器官损害更为严重,因此早发现、早治疗至关重要。
据2016年JAMA报道,我国高血压的患病率32.5%,还有39.5%为高血压前期。而继发性高血压在高血压中占15%。在继发性高血压中,以内分泌性高血压为主,内分泌性高血压中又以原醛症最为常见,占高血压患者5-10%(中国原醛1000-2000万),是被忽略的常见病。国外报道,在1,2,3级高血压患者中,原醛症患病率分别为1.99%、8.02%和13.2%。在难治性高血压患者中,原醛约17-23%,男女无明显差别。在新诊断的高血压中的患病率超过4%。可见在2、3级高血压和难治性高血压患者中,原醛症的筛查不容忽视。

原醛症就在我们身边,怎样及时发现呢?在原发性醛固酮增多症诊断治疗的专家共识(2020版)中推荐对以下人群进行原醛症筛查:1.持续性高血压(>150/100mmHg)者;使用3种常规降压药(包括利尿剂)无法控制的高血压(>140/90mmHg)的患者;使用≥4种降压药物才能控制血压的患者及新诊断的高血压患者。2.高血压合并自发性或利尿剂所致的低血钾的患者;3.高血压合并肾上腺意外瘤的患者;4.早发性高血压家族史或者早发(<40岁)脑血管意外家族史的高血压患者;5.原醛症患者中存在高血压的以及亲属;6.高血压合并组赛性呼吸睡眠暂停的患者。
原醛症的治疗:原醛确诊后,治疗方案取决于原醛症的病因和患者对药物的反应。原醛症的治疗有手术和药物治疗两种方式。醛固酮瘤及PAH首选手术治疗,如患者不愿或者不能手术,可予药物治疗。特醛症及GRA首选药物治疗。
我院内分泌科开设糖尿病门诊、胰岛素泵门诊,主要致力于妊娠期高血糖、糖尿病及并发症、甲状腺疾病、青少年糖尿病、内分泌性高血压等疾病的诊治。我们建议身受高血压困扰,血压在160/100mmHg以上、年龄小于40岁发病或者服用降压药效果不佳等符合以上6中情况的高血压患者前来我科咨询就诊。我们团队将竭诚为您服务。
内分泌专家门诊:淄博市妇幼保健院新院区(山东省淄博市张店区北天津路66号)6号楼2楼 内分泌门诊
病房地址:淄博市妇幼保健院新院区1号楼13A层
咨询电话:0533-2951322 0533-2951035
内分泌科 李艳玲