专业评估、专业治疗,解除围绝经期女性难言之隐
近日,50多岁的张女士来到我院超声二科求医,疑泌尿系统炎症要求做肾脏、膀胱超声检查,值班大夫询问病情,据其自述:近几年反复发作腰酸,腰疼,尿频,排尿疼痛,下腹部下坠感明显,去过很多家医院反复做过很多泌尿、生殖系统检查,症状均无明显改善。反反复复的病症成了张女士的一个“心魔”。
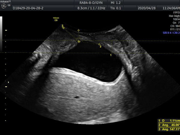
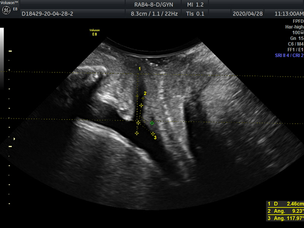
询问完病史,根据患者主述,值班大夫赵云初略判断患者可能是盆底功能障碍性疾病,建议患者行“盆底超声检查”,最终通过三维/四维超声确诊了患者的病症--GreenIII型膀胱膨出,盆底肌松弛引起的盆底功能障碍性疾病之一。这个病会引起尿潴留,导致反复泌尿系感染,病因找到了,患者被建议去我院妇科寻求帮助,下一步治疗方向有了,患者对我院工作人员连声道谢。
什么是盆底功能障碍性疾病呢?
您大笑或咳嗽或跳绳时,是否有尿液不由自主溢出来了呢?是否听到流水潺潺的声音,总想找厕所在哪?是否有经常蹲在厕所好久解不出大便的情况呢?是否有走路或下蹲时腹部下坠,腰酸呢?是否有反复的排尿疼痛呢?是否有产后性生活不满意,而夫妻之间闹矛盾呢?这些让人欲说还羞的难言之隐,相信很多女性朋友都有,然而总是找不到原因,其实这就是常见的盆底功能障碍性疾病。


盆底功能障碍性疾病包括
1、盆腔脏器脱垂(子宫、膀胱、直肠等)
2、尿失禁(压力性、急迫性、混合型)、粪失禁
3、反复泌尿、生殖道感染
4、习惯性便秘(腹部松弛、腰肌损伤)
5、性功能障碍(冷淡、无快感和高潮)
6、盆腔疼痛
病因主要是妊娠、绝经后雌激素水平下降等引起盆底支撑结构损伤、松弛及功能障碍,目前在我国发病率较高。准确诊断的基础就在于对盆底结构及功能的准确认识,很多时候单纯的临床普通检查并不能获得盆底解剖以及功能改变的详细信息。 而盆底超声通过盆底组织的二维及三维/四维超声检查,获得盆底完整的声像图,可以比较直观的显示盆底各脏器的空间关系并明确诊断。
盆底超声不但可以直接观察盆底变化情况,而且膀胱移动度、尿道倾斜角、膀胱后角、尿道内口漏斗是否形成、子宫有无脱垂、直肠有无膨出、有无肠疝、肛门括约肌及肛提肌有无损伤等还可作为盆底情况客观影像学指标。
妇女盆底疾病是一类很常见的疾病,涵盖庞大的患者群体,据统计,50岁以上女性,50%有不同程度的盆底功能障碍性疾病。主要包括盆腔脏器脱垂、尿失禁、慢性盆腔痛、性功能障碍等。但普通人群缺少相关知识,使该类疾病发病率高但就诊率低,甚至不少专科大夫对此病也不甚了解。
我院妇科盆底亚学科专业性强,涉及面广,技术水平在全市处于领先地位,系市医学会盆底学组牵头单位。近年来,妇科盆底亚学科开展了多项新技术新业务,可以完成盆底高难、复杂手术的处理,如腹腔镜下Y网骶骨固定术、各种韧带悬吊术、抗尿失禁手术等,填补了市内空白。并开展了盆腔脏器脱垂、尿失禁等盆底疾病的非手术治疗,如盆底康复治疗、子宫托、药物治疗、行为疗法等,可以为广大盆底疾病患者提供高水平的服务。




多学科合作,共赢共进步,一切为病人为中心。淄博市妇幼保健院全体工作人员将继续以专业、精湛的技术为广大患者提供更加优质的服务。