你了解自己的脊柱吗?
怀疑孩子脊柱侧弯,X线检查要怎么做?
正常的脊柱从后面看应是一条直线,并且躯干两侧应该对称。当家长发现自己小孩有以下体态问题:如双肩不等高,肩胛骨 、胸廓不对称,臀部偏移,孩子向前弯腰时腰部左右不平,就要怀疑孩子是否有“脊柱侧弯”了。脊柱侧弯,也是脊柱侧凸的俗称。它是一种脊柱的三维畸形及序列异常。

那我们该如何判断是不是脊柱侧弯呢?
我们可以先做一个自我评估:找一面镜子,对着镜子自然站直。
第一, 观察左肩是否等高,正常人是右肩比左肩略低一些的,如果你对镜子的观察后发现自己左肩比右肩高,那么脊柱侧弯的风险就相对较高;
第二, 观察自己的头、鼻跟自己的肚脐相比,是不是在同一条垂直线上,有没有向一边偏移,如果有明显偏移,怀疑有侧弯的风险;
第三, 观察双手与腰身之间的缝隙是否对称;
第四, 双手合十,直腿向前弯腰,找朋友观察你的背部左右两边是不是等高。如果有明显的不等高,说明有脊柱侧弯的风险。
那么,我们就需要来医院影像科就诊了!
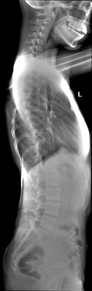
全脊柱X线检查是什么?要怎么做呢?
全脊柱X线片,大部分是由脊柱分段拍摄,然后运用拼接技术拼接而成。
体位设计: 站立位摄影时患者站立于拼接架上,背靠支架,双手扶住扶手,双下肢直立,双足稍微分开,保持身体静止, 双眼平视前方; 站立侧位摄影时患者站立于拼接架上,身体一侧靠近支架面板; 同样是,双手扶住扶手,双下肢直立,双足稍微分开,保持身体静止;


脊柱侧弯的金标准是X光,所以如果真的担心自己有脊柱侧弯的话,通过拍摄全脊柱X线 片,就可以明确诊断了。